Hinweise zur Nackentransparenz-Messung in der Schwangerschaft
Die große Mehrzahl aller Kinder wird gesund geboren. Grundsätzlich besteht für jede Schwangerschaft ein Risiko von ca. 3 % (sog. Hintergrundrisiko), dass das Kind mit einer körperlichen und/oder geistigen Auffälligkeit geboren wird.
In einigen Fallen beruht diese Abweichung auf einer chromosomalen Anomalie. Am weitesten verbreitet und am bekanntesten ist das Down-Syndrom (Trisomie 21, Mongolismus"). Das Risiko für ein Down-Syndrom steigt mit dem mütterlichen Alter an. Während eine Schwangere mit 25 Jahren ein Risiko von 1:870 hat, liegt das Risiko einer 40jährigen bei 1:62. Seltenere Chromosomenanomalien sind die Trisomie 13 (Pätau-Syndrom) und Trisomie 18 (Edwards-Syndrom), wobei diese Kinder oft bereits intrauterin versterben.
Von allen geborenen Kindern mit Down-Syndrom haben allerdings nur 30 % eine Mutter, die älter als 35 Jahre ist. 70 % der geborenen Down-Kinder werden von jüngeren Frauen geboren. D. h., die alleinige Risikoabschätzung auf der Basis des mütterlichen Alters erfasst maximal 30 % der Kinder mit Down-Syndrom.
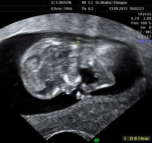
Am Ende des ersten Schwangerschaftsdrittels findet man häufig eine Wasseransammlung (Nackentransparenz) unter der Haut des kindlichen Nackens. Ist diese Schicht größer als normal, kann dies auf chromosomale Anomalien oder andere Erkrankungen des Kindes hinweisen (z. B. Herzfehler).
Durch die Messung der kindlichen Nackentransparenz (NT-Messung) kann von der 12. bis 14. Schwangerschaftswoche durch zertifizierte Ärzte eine individuelle Risikoberechnung in Bezug auf die Trisomie 21 durchgeführt werden.
Die Messung erfolgt durch eine vaginale oder abdominale Ultraschall-Untersuchung.
Mit Hilfe eines speziellen Computer-Programms ist es möglich, aus der Messung der Nackentransparenz in Beziehung zu Ihrem Alter das individuelle Risiko zu errechnen. Damit erkennt man rund 80 % der Kinder mit Down-Syndrom.
Durch eine zusätzliche Bestimmung zweier Parameter aus dem mütterlichen Blut (PAPP-A und freies ß-HCG) erhöht sich die Aufdeckrate auf über 90 %. Allerdings liegt die Falsch-Positiv-Rate (=auffällige Werte bei gesundem Kind) bei 5 % und kann somit die Mutter unnötigerweise verunsichern.
![]() |
||
| unauffällige Nackentransparenz | exakte Darstellung im hochauflösenden Ultraschall | auffällige NT, weitere Diagnostik erforderlich! |
Diese Untersuchungen bieten keine Diagnose, sondern eine individuelle Risikoabschätzung. Ein auffälliges Testergebnis bedeutet nicht, dass das Kind eine Chromosomenanomalie oder einen Herzfehler hat, sondern es zeigt an, ob ein höheres Risiko besteht. Dann sollte ggfs. eine weiterführende Diagnostik erfolgen. Umgekehrt kann das Risiko bei entsprechender NT-Messung sich auch vermindern. Ein sicherer Ausschluss von Chromosomenstörungen ist letztlich nur durch eine Fruchtwasserpunktion oder Chorionzottenbiopsie möglich.
Weitere Informationen finden Sie unter www.fmf-deutschland.info
Da die NT-Messung jedoch über den Rahmen der Mutterschaftsvorsorge hinaus geht, entstehen für Sie Kosten, die von Ihrer Kasse nicht getragen werden. Diese entnehmen Sie bitte der folgenden Tabelle.
| Kosten für Messung der Nackenfalte mit Ultraschall: | |||||
| GO"-Ziffer | 1 | 1,8-facher Satz | Beratung | 10,70 | 9,30 Euro |
| GO"-Ziffer | A1006 | 1,0-facher Satz | FMF-zertifizierte NT/Messung | 110,70 | 110,70 Euro |
| 120,00 Euro | |||||
| Kosten für die Laboruntersuchungen: | |||||
| GO"-Ziffer | 4024 | 1,15-facher Satz | --HCG | 16,64 | |
| GO"-Ziffer | 4044 | 1,15-facher Satz | PAPP-A | 23,46 | 40,10 Euro |