1976 wurden die Krebsfrüherkennungs-Richtlinien erlassen. Seitdem ist u.a. die Häufigkeit des Cervix-Carcinoms (Gebärmutterhalskrebs) von 2. Stelle an die 8. Stelle der Krebstodesursachen gefallen.

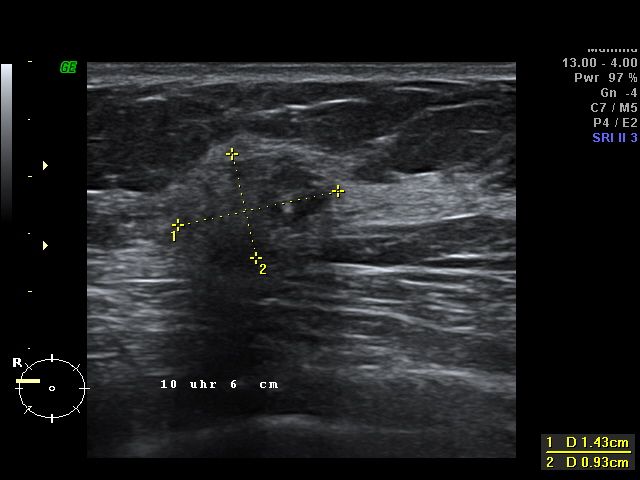
Neben den vorgeschriebenen Untersuchungen gibt es sinnvolle Ergänzungen wie z.B. Ultraschalluntersuchungen. Es ist ganz offensichtlich, dass Myome, Cysten und Brustbefunde durch die Ultraschalluntersuchung wesentlich früher entdeckt werden können als durch die Tastuntersuchung alleine.
Leider ist die Sonographie bei der Routine-Vorsorgeuntersuchung nicht vorgesehen. Möglicherweise deshalb, weil bei Einführung der Krebsvorsorgeuntersuchung 1976 die Ultraschalldiagnostik noch nicht so weit war wie heute. Heute stehen jedoch qualitativ hochwertige Ultraschallgeräte zur Verfügung, die die Sicherheit der Untersuchung entscheidend verbessern.

Wir bieten Ihnen daher in unserer Praxis auf Wunsch eine erweiterte Vorsorge zur Brustuntersuchung und zur Untersuchung des inneren Genitale mit hoch auflösenden Ultraschallgeräten an.

VORSORGE PLUS +

 

Es wird dabei zusätzlich zur Kassen-Vorsorge eine Ultraschalluntersuchung der Brust und / oder eine Ultraschalluntersuchung von Gebärmutter und Eierstöcken durchgeführt. Diese Untersuchungen sind frei von belastenden Röntgenstrahlen und bietet eine deutlich bessere Früherkennung von Brustkrebs und Eierstockskrebs als die Tastuntersuchung alleine.

Sie wird angeboten als Ergänzung der Vorsorgeuntersuchung bei unauffälligem Tastbefund, wenn sonst keine weiteren Maßnahmen notwendig wären.

Da diese Leistungen jedoch über den gesetzlichen Rahmen der Krebsfrüherkennungsuntersuchung hinausgehen, entstehen für Sie Kosten, die von Ihrer Krankenkasse nicht getragen werden.

Wir orierentieren uns dabei an der Gebührenordnung für Ärzte (GOÄ).

Die Kosten belaufen sich auf         30,00 Euro Mammasonographie oder
                                                          30,00 Euro Vaginalsonographie oder  
                                                          50,00 Euro Komplett-Sonographie (Brust und Unterleib).

Wenn Sie von diesem Angebot Gebrauch machen möchten oder weitere Informationen wünschen,

... sprechen Sie uns an.

zurück zur Startseite